Article content
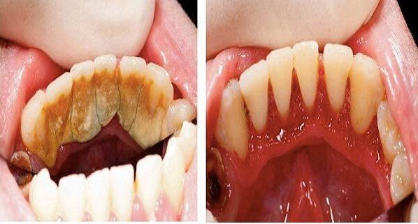
Tartar is a very common problem nowadays. It occurs due to the hardening of dental plaque on the teeth and can lead to various tooth problems and periodontitis if left untreated.
If you have such a problem, you must visit your dentist. But fortunately we’re here to tell you that there are also some natural remedies that can help you remove tartar at home.
How to remove tartar
What will you need?
- toothbrush
- dental pick / some sharp object for scraping tartar /
- baking soda
- cup
- water
- mouthwash
- hydrogen peroxide
- salt
How to do it?
First put half a teaspoon of salt into the baking soda in a bowl and mix. Dip the toothbrush and dip it into the mixture. Then brush your teeth with it as usual. The process should take about 5 minutes.
Then put hydrogen peroxide into a cup and mix it with half a glass of water. Rinse your mouth with it thoroughly. Spit it out. Do not swallow! Then use cold water and rinse your mouth again.
Use the dental pick and carefully remove the yellow tartar from your teeth. Finally rinse your mouth with mouthwash. To achieve optimal results, repeat the procedure for a few days.
This will help you get the most beautiful smile you’ve ever wanted!
Strawberries and tomatoes
Tomatoes and strawberries contain many essential nutrients, such as vitamin C, that we need to have good oral health. Use the fruit to clean your teeth.
Leave it on for 5 minutes and the tartar will be easily removed. After 5 minutes brush your teeth with a toothbrush and baking soda. You can also use other foods rich in vitamin C for this procedure: peppers, oranges, lemon, papaya and lime.
Cheese
Eating cheese before a meal is an excellent way to help neutralize acids, which are the main culprits in plaque formation on the teeth.
You should brush your teeth regularly and also eat fibrous foods to achieve optimal oral health. Try to consume more spicy foods to increase saliva production. Saliva cleans the mouth.
Placing orange peel on your teeth before sleeping is an excellent way to help eliminate bacteria from the mouth and teeth.
Now that you know these tricks, try them today! You will be amazed at the cleanliness of your mouth and your white teeth!


