A man had unbearable back pain for several months. It wasn't until an X-ray revealed a shocking finding that the doctor couldn't believe his eyes.

Jan , 22. 12. 2025

Article content

The human body is a very complex mechanism that can warn us when something is wrong. It sends clear signals that many people, however, ignore and thus set themselves up for significant troubles in the future. Sometimes a deteriorating health condition is discovered only by doctors, as was the case here.

Real incident

The story we bring you is directly related to the topic of neglected health. The unpleasantness happened to a man who is thirty-eight years old and lives in Sao Paulo, Brazil. He began to feel pains in his spine that made everyday movement difficult, and he was unable to do his job. Eventually, when he saw that the pain was getting stronger day by day, he decided to seek medical help.

Surprising discovery

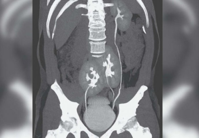
The doctors recommended an X-ray, but what the images showed also surprised them. The scans showed that he had a common problem that they deal with every day, but in addition it was visible that he also had three kidneys. On the left side he had a completely normal kidney, while on the right side there were two kidneys which, according to what could be seen on the scans, were connected to each other.

Unusual arrangement of organs

The ureters were merged into one at the very outlet into the urinary bladder. Many people might assume that this man is lucky because he has three kidneys, but this case is actually very serious. You might think that one kidney could fail during life, as often happens with some people, and therefore the man would have an advantage. According to the doctors, however, that is not the case.

Such cases are rare

Such phenomena are truly rare, and only one hundred such cases have been recorded worldwide so far. This phenomenon is called a supernumerary kidney, and as far as this particular patient is concerned, his kidneys were functioning well and were not impairing his health.

But this is not always so. Sometimes the extra organ is a burden on the body and only causes discomfort. Other parts of the body then fail and it is necessary to remove the organ by surgery.