Article content
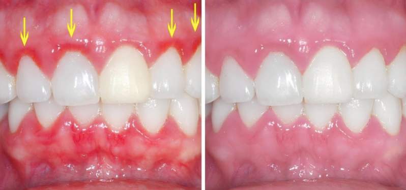
Gingivitis is a very common problem that can lead to more serious health complications if not treated properly. Before reaching for medications, try some of these natural home remedies that can help relieve symptoms and support the health of your gums.
1. Green tea
Green tea is rich in antioxidants that help reduce inflammation in the body. Regularly drinking green tea can help prevent gum inflammation and keep your gums healthy and strong.
2. Hydrogen peroxide
Hydrogen peroxide has strong antibacterial properties. Gently rubbing your gums with hydrogen peroxide can help eliminate harmful bacteria in the mouth that cause gum inflammation. However, be careful not to swallow the peroxide, as it can be dangerous in larger amounts.
3. Turmeric paste
Turmeric paste is known for its anti-inflammatory and antimicrobial effects. Mix 1 teaspoon of turmeric with 1/2 teaspoon of salt and 1/2 teaspoon of mustard oil. Apply this mixture to your gums to reduce inflammation and promote their health.
4. Sage mouthwash
Sage has natural anti-inflammatory properties. Prepare a sage mouthwash by pouring a cup of hot water over two tablespoons of fresh or dried sage leaves. Let steep for 10 minutes, strain, and after cooling use to rinse your mouth.
5. Saline water
Saline water acts as a natural disinfectant that helps reduce inflammation and kills bacteria in the mouth. Simply dissolve a teaspoon of salt in warm water and gargle several times a day. However, daily use is not recommended to avoid damaging tooth enamel.
6. Lemongrass oil
A mouthwash with lemongrass oil is effective at reducing plaque formation, the main cause of gum inflammation. Just add two to three drops of the oil to a glass of water and gargle three times a day.
7. Baking soda
Baking soda neutralizes acids in the mouth and helps prevent gum disease. Mix it with water until a paste forms, gently apply it to the gums and let it sit.
8. Coconut oil
„Swishing“ with coconut oil in the mouth, known as oil pulling, is a traditional method that may help improve gum health. Although scientific evidence is lacking, many people report improvement with regular use.
9. Regular tooth brushing
The basic and most important step in preventing gum inflammation is brushing your teeth at least twice a day. This removes plaque and bacteria that can cause inflammation.
10. Using dental floss
Dental floss helps remove food debris that gets lodged between the teeth and cannot be removed by a toothbrush. Regular use of dental floss prevents plaque buildup and gum inflammation.
Conclusion
These natural remedies can help you keep your gums healthy and reduce inflammation if it occurs. However, it is always a good idea to consult your dentist, especially if symptoms persist or worsen. Keep your oral hygiene a top priority and try some of these tips for a healthy, radiant smile!